日本のCNC研削盤市場規模は2024年に3億467万米ドルに達しました。今後、IMARC Groupは、同市場が2033年までにUSD 424.34百万に達し、2025年から2033年にかけて3.75%の成長率(CAGR)を示すと予測しています。....
haruto leo
Explore the advancements in liquid vaping technology with the Cali UL20000 series. Learn how devices like Mighty Mint Cali UL20000 and Kiwi Dragon Berry Cali UL20000 deliver consistent vapor..
sofia williams
The Qatar Plastic Additives Market size is valued at around USD 73 million in 2025 and is expected to reach USD 94 million by 2030. Along with this, the market is estimated to grow at a CAGR..
John ryan
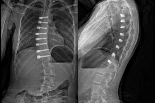
minimally invasive spine surgery institute
scoliosis treatment fort lauderdale
scoliosis treatment centers in florida
pediatric scoliosis specialist Fort Lauderdale
oscar willard
在台灣電子煙市場中,SP2s以穩定性能、簡易操作和多樣化口味支援成為熱銷首選,無論是新手還是老用戶,都能輕鬆享受順暢吸入體驗。
安 沙
MMOexp.com makes piracy pay-Buy Skull and Bones Silver now for fast upgrades, powerful ships, and total sea domination.
Floren cehg
Rack up kills and XP effortlessly in Call of Duty Black Ops 7 with U4GM's bot lobby services. Join custom lobbies packed with bots for quick leveling, camo unlocks, and fun – all handle..
sdf asd
Season 10 of Diablo 4 introduces a gripping narrative centered around ancient Horadric knowledge, forgotten relics, and cursed dungeons.
Sera phinang
Consumer adoption patterns in the women’s facial hair removal device market vary widely across income segments, shaping demand and purchasing behavior globally.
Apeksha More
The construction equipment rental market is expanding rapidly as contractors and businesses prefer accessing machinery on a rental basis rather than investing in costly ownership. This shift..
Ashish Patil
The internet is brimming with simple, yet addictive games, and among them, Slope Game has carved out a niche for itself. This deceptively easy-to-learn, difficult-to-master title offers a un..
Stephanie Thomas
Buy arc raiders coins, arc raiders currency, cheap arc raiders gold, instant arc raiders top-up, safe arc raiders coin purchase, arc raiders in-game currency
zsd lsd
With the release of Diablo 4 Season 11, Blizzard Entertainment has introduced a new feature that is already sparking controversy within the community. While the feature promises to bring fre..
jane jane
In Call of Duty: Black Ops 7, having the right setup for your Razor 9mm pistol can make all the difference between success and failure, especially in tight, high-stakes situations. With its ..
jane jane
My Honest Take on Diablo 4 After 200+ Hours
shuangbai tony
Super Bear Adventure,Space shooter - Galaxy attack
joe zhou
Madden NFL 26 offers a variety of multiplayer modes that cater to different playstyles. From intense competitive matches to casual, fast-paced games, players have multiple options to enjoy t..
Adrianayng
Glyph of Envy: Use these on random exalted items to instantly max out stability and trigger boss fights faster.
Stellaol Stellaol
Kategorier
Trending
Аблязов снова переходит в наступление
3 flere år siden
Научный подход к реставрации ингушских башен
3 flere år siden



















